「最近、自分の口臭が気になる」「口の中がなんとなく不快」——そんな悩みを抱えながらも、どこに相談すればいいかわからず、一人で不安を抱えている方は少なくありません。
実は、口臭の原因の多くは「歯周病」にあることをご存知でしょうか。
この記事では、歯周病と口臭の関係から、症状・進行の段階、歯科医院での治療内容と費用、そして保険適用の範囲まで、できるだけわかりやすくお伝えします。
「自分の口臭は歯周病のせいかもしれない」と感じている方にとって、少しでも不安が解消される記事になれば幸いです。
歯周病と口臭の深い関係——なぜ口が臭くなるのか

歯周病は、歯ぐきや歯を支える骨に炎症が起きる病気です。
その進行とともに、口臭も強くなっていく傾向があります。
口臭の原因として歯周病が挙げられることが多いのには、しっかりとした科学的な理由があります。
口臭の原因は「細菌が産生するガス」にある
口の中には、もともと数百種類もの細菌が存在しています。
健康な状態では、これらの細菌はバランスを保っていますが、歯周病が発生すると、歯と歯ぐきの間(歯周ポケット)に嫌気性細菌(酸素を嫌う細菌)が増殖しはじめます。
これらの細菌が食べ物のカスやたんぱく質を分解するときに発生するのが、「揮発性硫黄化合物(VSC)」と呼ばれる悪臭ガスです。
このガスが口臭の主な原因となっており、卵が腐ったようなにおい(硫化水素)や、生ゴミのようなにおい(メチルメルカプタン)として感じられることがあります。
歯周病が進行すればするほど、歯周ポケットが深くなり、嫌気性細菌が増えやすい環境になるため、口臭も悪化しやすいのです。
歯周病によって起きる口の中の変化
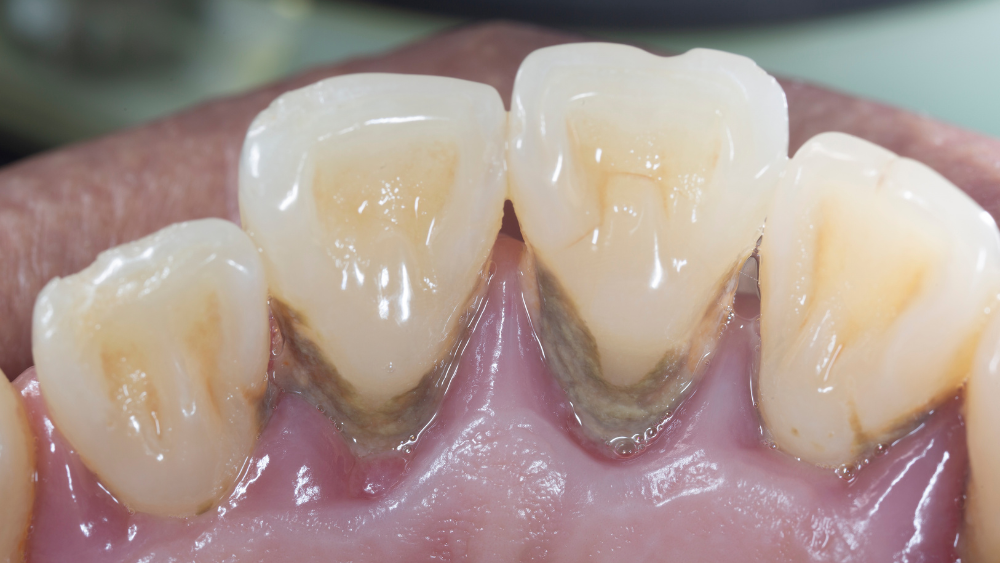
歯周病が進行すると、歯ぐきが腫れたり、出血したりする症状が現れます。
歯ぐきから出る血液や、炎症に伴って分泌される滲出液(歯周ポケットの中に溜まる液体)も、細菌のエサになりやすく、さらなる口臭の原因になります。
「歯を磨いても口臭が取れない」と感じる場合は、歯周病によって歯周ポケット内に細菌が大量に繁殖している可能性があります。歯科医院での検査を検討してみてください。
市販のマウスウォッシュや歯磨き粉だけでは、歯周ポケット内の細菌を除去することは難しいため、自己流のケアで改善しない口臭は、歯周病が深く関係していることが少なくありません。
口臭の原因が歯周病かどうかを判断するには
口臭の原因はさまざまで、胃腸の不調や食べ物(ニンニク・ネギなど)、ドライマウス(口腔乾燥症)なども関係することがあります。
しかし、口臭の原因の約80〜90%は口腔内に由来すると言われており、その多くが歯周病や虫歯、舌の汚れ(舌苔)です。
特に、次のような症状が当てはまる場合は、歯周病が口臭の原因になっている可能性が高いと考えられます。
・歯ぐきが腫れている、または赤みがある
・歯磨きのときに血が出る
・歯と歯の間に食べ物が詰まりやすい
・口の中がネバネバする感覚がある
・歯がぐらつく感覚がある(重度の歯周病の症状)
これらの症状が一つでも当てはまるようであれば、早めに歯科医院を受診されることをおすすめします。
歯周病の進行と口臭の悪化——段階別に知っておきたいこと

歯周病は一度で突然重症化するわけではなく、段階的に進行していきます。
進行するにつれて口臭も強くなるため、早い段階での対処がとても大切です。
歯周病の進行ステージを理解することで、自分の状態を把握しやすくなります。
ステージ1:歯肉炎(歯周病の初期段階)
歯肉炎は、歯周病の中でも最も初期の段階です。
この時期は、歯ぐきにのみ炎症が起きており、歯を支える骨(歯槽骨)にはまだ影響が及んでいません。
歯肉炎の段階であれば、適切な歯磨きと歯科医院でのクリーニングによって、歯周病の進行を止め、健康な状態に戻せる可能性が高いです。
この段階での口臭は、まだ比較的軽度なことが多いですが、歯周ポケット内の細菌が発生しはじめているため、すでに口臭の原因になり始めていることがあります。
症状としては、歯磨き時の出血、歯ぐきの腫れ、ムズムズ感などが挙げられます。
ステージ2:軽度〜中等度歯周炎
歯肉炎が進行すると「歯周炎」へと移行し、歯槽骨が少しずつ溶けはじめます。
歯周ポケットの深さが3〜5mm程度になると、通常の歯磨きではポケット内の細菌を除去することが難しくなります。
この段階になると口臭が顕著になってくることが多く、本人よりも周囲の人が先に気づくケースもあります。歯周病の進行を食い止めるためにも、歯科医院での専門的な処置が必要です。
歯科医院では、スケーリング(歯石除去)やルートプレーニング(歯根の清掃)といった処置が行われ、歯周ポケット内の細菌を減らしていきます。
ステージ3:重度歯周炎
重度の歯周病になると、歯周ポケットが6mm以上になり、歯槽骨の破壊が大きく進行します。
歯がぐらついたり、歯ぐきが大きく後退して歯根が露出したりする症状が現れることがあります。
口臭も非常に強くなり、膿が出ることで独特の臭いが発生するケースもあります。
この段階では、外科的な歯周治療(フラップ手術など)が必要になることもあり、場合によっては抜歯になるケースもあります。
重度の歯周病による口臭は、歯周病そのものを治療しない限り根本的な改善が難しいため、早急に歯科医院への受診が必要です。
歯周病は「サイレントディジーズ」——気づきにくい怖さ
歯周病は進行しても痛みを感じにくいことが多く、「沈黙の病気」とも呼ばれます。
口臭が強くなっても「体質だから」「食べ物のせいかも」と放置してしまい、気づいたときには歯周病がかなり進行していた、というケースは珍しくありません。
定期的に歯科医院を受診することで、自覚症状が出る前に歯周病を発見し、進行を防ぐことができます。
自覚症状がなくても、定期検診(3〜6ヶ月に一度が目安)を受けることが、歯周病による口臭の予防に最も効果的とされています。
歯科医院での歯周病・口臭治療——何をするの?何回通うの?

「歯科に行って何をされるのか不安」「何回通えばいいの?」という疑問を持つ方はとても多いです。
ここでは、歯科医院での歯周病・口臭治療の流れを、患者さんの視点からわかりやすく解説します。
治療の内容は歯周病の進行度によって異なります。
初診でおこなわれること——検査とカウンセリング
歯科医院に初めて受診すると、まず問診票の記入と口腔内の検査がおこなわれます。
歯周病の検査では、プローブという細い器具を使って歯周ポケットの深さを測定します。
また、レントゲン撮影によって歯槽骨の状態を確認し、歯周病がどの程度進行しているかを把握します。
初診時の検査には30分〜1時間程度の時間がかかることが多く、事前に予約の際に確認しておくと安心です。医院によって検査内容や時間が異なることがあります。
口臭の原因が歯周病によるものかどうかを確認するために、口臭検査(口臭測定器を使った検査)を実施している歯科医院もあります。
歯周基本治療——スケーリングとルートプレーニング
歯周病・口臭治療の基本となるのが「スケーリング」と「ルートプレーニング」です。
スケーリングは、歯に付着した歯石(石灰化した細菌の塊)を専用の器具で除去する処置で、口臭の原因となる細菌の量を大幅に減らすことができます。
ルートプレーニングは、歯周ポケット内の歯根の表面を滑らかに整え、細菌が付着しにくい環境をつくる処置です。
これらの処置を受けるだけで、多くの患者さんは口臭の改善を実感されています。歯周病による口臭の原因の多くが、歯石や細菌の蓄積であるためです。
通院回数は歯周病の進行度によって異なりますが、一般的には複数回に分けておこなわれます。
歯周外科治療——重度の歯周病の場合
歯周基本治療だけでは改善が難しい重度の歯周病の場合、歯周外科治療が検討されます。
代表的な術式として「フラップ手術(歯肉剥離掻爬術)」があり、歯ぐきを切開して歯根の深部に付着した歯石や細菌を直接除去します。
この処置によって、歯周病の進行を食い止め、口臭の原因となる深部の細菌環境を改善することができます。
外科処置が必要な場合は、事前に担当の歯科医師から丁寧に説明を受け、治療方針について十分に相談することが大切です。
通院回数と治療にかかる時間の目安
歯周病・口臭の治療にかかる通院回数は、歯周病の進行度によって大きく異なります。
歯肉炎の段階であれば、2〜4回程度の通院で基本治療が完了するケースもありますが、中等度〜重度の歯周病では、半年以上かけて治療をおこなうこともあります。
1回の診療にかかる時間は、処置の内容によって30分〜1時間程度が目安です。お仕事が忙しい方は、予約の際に「時間の目安を教えてください」と歯科医院に確認することをおすすめします。
治療が完了した後も、歯周病の再発・口臭の再発を防ぐために、定期的なメンテナンス通院(再診)を続けることが一般的に推奨されています。
歯周病・口臭治療の費用——保険は使える?料金相場は?

歯科治療の費用について「高そうで不安」という方も多いのではないでしょうか。
歯周病の治療は、多くの処置において保険が適用されるため、患者さんの負担は思ったよりも少ないケースがあります。
ただし、歯科医院によって費用が異なる場合があるため、事前に確認することをおすすめします。
保険診療で受けられる歯周病・口臭の検査・治療
歯周病の診断・治療の多くは、健康保険(保険診療)の適用対象です。
保険が適用される主な項目は以下の通りです。
・歯周病検査(プローブによる歯周ポケット測定)
・レントゲン撮影
・スケーリング(歯石除去)
・ルートプレーニング(歯根面清掃)
・歯周外科治療(フラップ手術など)
・歯周病の再評価検査
保険診療の場合、3割負担の方であれば、初診から基本的な歯周病治療(スケーリングを含む)までの費用は、概ね数千円〜1万円台の範囲に収まることが多いです。ただし、歯周病の進行度や治療内容によって費用は変わります。
口臭検査(口臭測定器を使った精密検査)は、保険適用外(自費)になることが多いため、受診前に歯科医院に確認しておくとよいでしょう。
自費診療での口臭治療・歯周病治療の料金相場
保険診療で対応できる範囲には一定の制限があるため、より精密な口臭検査や、最新技術を用いた歯周病治療を希望する場合は、自費診療を選択することもあります。
自費診療の料金は歯科医院によって大きく異なりますが、口臭外来や歯周病専門外来の初診料・検査費用として5,000円〜30,000円程度を設定している医院もあります。
「保険で治療できる範囲はどこまでか」を事前に確認し、自費診療が必要な場合は費用の見積もりを出してもらうことをおすすめします。信頼できる歯科医院であれば、丁寧に説明してくれるはずです。
なお、歯周病の治療においては、保険診療と自費診療の混合は一部制限があります。担当の歯科医師や受付スタッフに確認しながら進めると安心です。
定期検診(メンテナンス)の費用と保険
歯周病治療後の定期検診(メンテナンス)も、条件を満たせば保険診療の対象となります。
定期検診では、口腔内の状態の確認、歯石の除去(プロフェッショナルクリーニング)、ブラッシング指導などがおこなわれ、歯周病・口臭の再発を防ぐ上でとても重要です。
一般的に3〜6ヶ月に一度の定期検診が推奨されており、1回あたりの費用は保険適用で2,000〜3,000円程度(3割負担の場合)が目安です。ただし、歯科医院や処置内容によって異なります。
自宅でできる歯周病・口臭対策と、歯科医院との上手なつきあい方

歯科医院での治療と並行して、自宅でのセルフケアをしっかりおこなうことが、歯周病の進行を防ぎ、口臭を改善するための重要なポイントです。
ここでは、日常的に実践できる対策と、歯科医院を上手に活用するコツをお伝えします。
正しいブラッシングで細菌の繁殖を抑える
歯周病・口臭の予防の基本は、毎日の正しいブラッシングです。
歯と歯ぐきの境目(歯頸部)は、細菌が繁殖しやすい場所であるため、丁寧に磨くことが大切です。
ブラシを45度の角度で当て、小刻みに動かすバス法(バスブラッシング法)が、歯周病予防に効果的とされています。
歯磨きだけでは歯と歯の間の細菌や汚れを除去しきれないため、デンタルフロスや歯間ブラシを併用することを歯科医師・歯科衛生士から勧められることが多いです。
舌の汚れ(舌苔)も口臭の原因になるため、舌ブラシを使って優しく清掃することも効果的です。
口臭を悪化させる生活習慣に注意する
歯周病・口臭の原因となる細菌が繁殖しやすい環境を作らないためには、生活習慣の見直しも重要です。
喫煙は歯周病の大きなリスク因子であり、歯ぐきへの血流を悪化させ、歯周病の進行を著しく早めることが知られています。
また、口腔内が乾燥すると(ドライマウス)、細菌が増えやすくなり口臭の原因となるため、水分をこまめに摂ることや、口呼吸を意識的に改善することも大切です。
「タバコを吸っている」「口が乾きやすい」「ストレスが多い」という方は、歯周病が進行しやすい状態にある可能性があります。歯科医院で一度相談することをおすすめします。
食後に水やお茶で口をすすぐだけでも、細菌のエサとなる食べカスを減らすことができ、口臭の発生を一定程度抑える効果が期待できます。
歯科医院と定期的につきあうことが長期的な対策の鍵
歯周病による口臭は、一度治療をおこなっても、再発するリスクがあります。
歯周病は細菌によって引き起こされる病気であるため、口腔内の細菌管理を継続的におこなうことが不可欠です。
歯科医院での定期的なプロフェッショナルクリーニング(PMTC)によって、自分では除去できない細菌の塊を定期的に取り除くことができます。
「通い続けるのが大変」と感じる方も多いですが、歯周病・口臭の再発を防ぐための定期通院は、長期的に見ると治療費の節約にもつながります。早期発見・早期処置の観点からも、定期検診は非常に重要です。
担当の歯科衛生士や歯科医師に、自分に合った通院ペースや自宅でのケア方法を相談しながら進めることで、無理なく続けられる口臭・歯周病対策が実現します。
よくある質問(FAQ)

歯周病と口臭に関して、患者さんからよく寄せられる疑問にお答えします。
受診前の不安を解消する参考にしていただければ幸いです。
Q1. 口臭があれば必ず歯周病があるということですか?
口臭の原因は歯周病だけではありません。
虫歯、舌苔、ドライマウス、消化器疾患など、さまざまな原因が考えられます。
ただし、口臭の原因の大部分は口腔内にあり、歯周病はその代表的な原因の一つです。
口臭が気になる場合は、まず歯科医院を受診して口腔内の状態を確認することをおすすめします。歯周病の有無を検査したうえで、必要であれば適切な治療を受けることが大切です。
Q2. 歯周病の治療をすれば口臭は必ずなくなりますか?
歯周病が口臭の原因であった場合、歯周病の治療・進行の改善によって口臭が大きく軽減されるケースがほとんどです。
ただし、すべての口臭が歯周病によるものとは限らないため、歯周病治療後も口臭が続く場合は、他の原因(内科的な疾患など)も検討する必要があります。
歯周病の原因となる細菌を減らすことが口臭改善の根本的な対策となりますが、口腔内の状態や個人差によって、改善の程度は異なります。
担当の歯科医師に率直に相談することが、最善策を見つける近道です。
Q3. 歯周病・口臭の治療は痛いですか?
スケーリング(歯石除去)は、歯周病が軽度の場合は比較的痛みが少ないことが多いですが、歯周ポケットが深い部分の処置では、麻酔を使用することもあります。
歯周外科治療(フラップ手術)では局所麻酔を使用するため、処置中の痛みは抑えられますが、術後に一時的な腫れや痛みが出ることがあります。
痛みへの不安がある方は、事前に担当の歯科医師に伝えておくと、適切な対応をしてもらいやすくなります。
歯科医院によって対応方法が異なりますので、遠慮なく相談してみてください。
Q4. 歯周病は自然に治りますか?
残念ながら、歯周病は自然に治る病気ではありません。
歯周病の原因は口腔内の細菌であり、適切な処置をおこなわない限り、歯周病は徐々に進行していきます。
「様子を見ればよくなるだろう」と放置してしまうと、歯周病の進行が進み、歯を失うリスクが高まります。口臭も悪化する一方ですので、早めの歯科受診をおすすめします。
初期段階であれば治療がより短期間で完了しやすいため、気になる症状があれば早めに歯科医院へご相談ください。
Q5. 子どもでも歯周病になりますか?口臭の原因になりますか?
歯周病(歯周炎)は一般的に成人に多い病気ですが、子どもでも歯肉炎(歯周病の初期段階)は発生することがあります。
子どもの口臭の原因として多いのは、虫歯・歯肉炎・舌の汚れ・口呼吸などです。
子どもの口臭が気になる場合も、歯科医院で一度診てもらうことで、原因を特定して適切な対処ができます。
定期的な小児歯科検診で口腔内の状態を確認しながら、早い段階からのセルフケア習慣を身につけることが大切です。
















